本期【每周一手术】栏目我们将为大家重点推出沃医妇产名医集团联合创始人、沃医子宫肌瘤微无创中心首席专家龚晓明教授的“微波消融联合宫腔镜治疗多发肌瘤”精彩视频分享,为大家交流、学习手术技巧提供参考。
病史介绍
✦37岁,G0,无生育要求。
✦月经量过多1年,血色素最低99g/L。
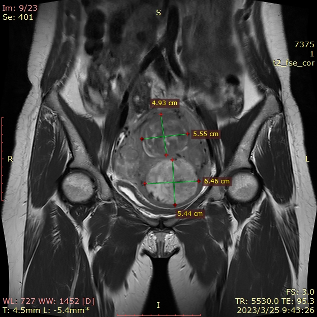
✦超声和MRI提示子宫多发肌瘤,较大者4-5型,T2高信号,71mm*58mm*67mm,次之2型,大小51mm*36mm*55mm,体检提示子宫如孕10周大小。



✦给予诺雷得10.8mg预处理,5个月以后手术。
✦术前肌瘤大小:前壁4-5型肌瘤59mm*52mm,2型肌瘤43mm*40mm。
✦术前3天给予米索前列醇口服,术前一晚用海藻棒准备宫颈。
专家简介
龚晓明 教授
沃医子宫肌瘤微无创治疗中心首席专家
医学博士,自由执业妇产科医生,中国妇产科网创始人及主编,沃医妇产名医集团联合创始人。
社会兼职:
中华预防医学会妇女保健分会围产保健学组委员及秘书;
中国整形美容协会女性生殖整复分会常务理事;
全国卫生产业企业管理协会妇幼健康产业分会专家咨询委员会委员;
国际妇科泌尿学会(IUGA)病人教育委员会国际委员;
互联网协会创新应用理事会理事;
中国研究型医院学会移动医疗专业委员会常务委员;
中国妇幼保健协会妇幼微创专业委员会委员,医促会青年委员,中国医师协会微无创委员会中青年分会委员。
责编:liu
